「オールオンフォーと総入れ歯、どちらを選べばいいのか分からない」このようなお悩みをお持ちではないでしょうか。
どちらも歯を失った方のための治療法ですが、構造・費用・噛む力・見た目などが異なります。
本記事では、オールオンフォーと総入れ歯の違いを、固定性・咀嚼力・見た目・費用・メンテナンスの視点から分かりやすく解説します。
オールオンフォーと総入れ歯の違いについて

オールオンフォーと総入れ歯の違いについては、以下のとおりです。
- ・固定式と可撤式の違い
- ・咀嚼力・見た目・装着感の違い
- ・治療期間・費用・メンテナンスの違い
- ・比較表で見る両者の特徴
それぞれ説明します。
固定式と可撤式の違い
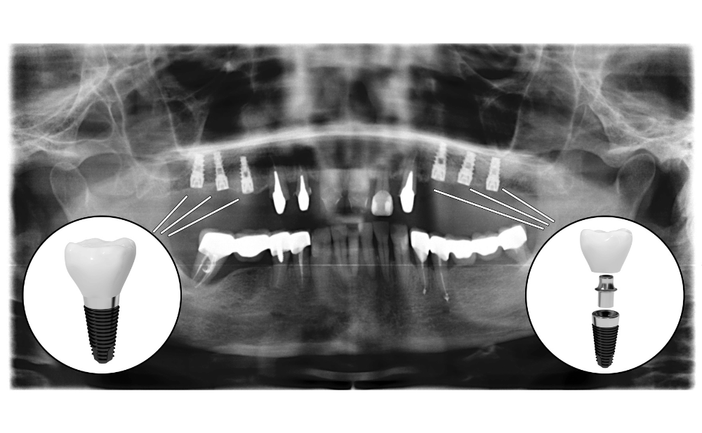
オールオンフォーは顎の骨に固定される治療で、食事中に装置がずれたり外れたりする心配がありません。
一方、総入れ歯は、自分で取り外しができる可撤式の装置です。
固定式のオールオンフォーと可撤式の総入れ歯では、噛む力が異なります。
また、固定式のオールオンフォーは、総入れ歯のように毎日外して洗浄する手間がなく、快適に過ごせます。
咀嚼力・見た目・装着感の違い
オールオンフォーは総入れ歯と比べて、自然な見た目で噛む力が強く、外れる心配がない治療法です。
| オールオンフォー | 総入れ歯 | |
| 咀嚼力 | 天然歯の約80% | 天然歯の約10%〜30% |
| 見た目 | 天然歯と見分けがつかない | 厚い土台があり、違和感がある |
| 装着感 | 固定された装置で安定感がある | 食事中にずれたり外れたりする心配がある 食べ物が挟まると不快感がある |
治療期間・費用・メンテナンスの違い
オールオンフォー治療と総入れ歯は、治療期間や費用・メンテナンスなども異なります。
| オールオンフォー | 総入れ歯 | |
| 治療期間 | 3か月~6か月が目安 | 約2週間~3か月で完成 |
| 費用 | 自己負担:片顎200万~400万程度 | 保険適用のため、2万円程度 |
| メンテナンス | 約3年~5年で調整や交換が必要 | 15年前後、定期健診のみ セルフケアは毎日の歯磨きのみ |
総入れ歯の費用が安いのに対し、治療期間や長期的な安定性ではオールオンフォーが優れています。
比較表で見る両者の特徴
オールオンフォーと総入れ歯は、安定性や費用などで異なります。
咀嚼力や快適さ・見た目の美しさを優先するならオールオンフォー、経済的な負担を抑えたい場合は総入れ歯が適切です。
オールオンフォーが向いている人

オールオンフォーは、短期間で快適な食生活や自然な見た目を取り戻したい人に向いている治療法です。
また、抜歯が必要な場合でも手術当日に仮歯を装着でき、見た目の美しさや若々しい口元を手に入れたい人にも向いています。
顎の骨が痩せてしまい、通常のインプラント治療が難しい症例でも、適用できる可能性が高いです。
当院のオールオンフォー治療の流れについては、下記のページを参考にしてください。
総入れ歯が向いている人

総入れ歯は、経済的な負担や外科手術を避けたい人に向いている治療法です。
外科手術が不要なことで体への負担が少なく、高齢の方や持病を持つ方でも安心して治療が受けられます。
また、費用を抑えて、すぐに歯を取り戻したい人にも向いています。
オールオンフォーのメリット・デメリット

オールオンフォーのメリット・デメリットは、以下のとおりです。
- ・自然な見た目と強い噛む力
- ・骨の吸収を防げる
- ・手術が必要で初期費用が高い
それぞれ説明します。
自然な見た目と強い噛む力
オールオンフォーは、最小4本の人工歯根を顎の骨に固定する構造のため、噛む力は天然歯の約80%ほどまで回復します。
また、天然歯と見分けがつかないほど、審美性の高い素材を使用します。
総入れ歯と大きく違う点は、口の中に厚い土台がないことで口元のハリが保たれ、自然な笑顔を取り戻せます。
骨の吸収を防げる
オールオンフォーは、噛んだときの力が人工歯根に伝わり、天然の歯と同じように顎の骨に適切な刺激が伝わります。
刺激が伝わることで、顎の骨が痩せるのを防ぎます。
骨の健康を保つことで、顔のハリを保つことができ、長期的に若々しい見た目を維持することが可能です。
手術が必要で初期費用が高い
オールオンフォー治療のデメリットは、外科手術が不可欠であり、初期費用も高額になる点です。
外科手術で歯茎を切開し、骨を削る処置を行うため、体への負担がかかります。
また、保険適用外の自由診療のため、片顎で200万〜400万円程度と高額になります。
手術に伴うリスクについては、事前に歯科医師へ相談することが大切です。
当院で無料カウンセリングを行っています。
下記よりお気軽にお問い合わせください。
総入れ歯のメリット・デメリット

総入れ歯のメリット・デメリットは、以下のとおりです。
- ・外科手術が不要で費用が安い
- ・調整や取り外しが手軽
- ・噛む力や安定感に限界がある
それぞれ説明します。
外科手術が不要で費用が安い
総入れ歯の最大のメリットは、外科手術が不要なことと、費用を抑えられることです。
外科手術で骨を削るなどの処置が不要なことで体への負荷が少なく、リスクも最小限に抑えられます。
また、健康保険の適用対象となるため、治療費の負担が軽減されます。
調整や取り外しが手軽
総入れ歯のメリットは、自分で簡単に取り外しができ、メンテナンスや調整が手軽な点です。
患者さん自身がいつでも入れ歯を外せるため、衛生的な管理も簡単になり、入れ歯を常に清潔な状態に保てます。
また、骨が痩せて合わなくなった場合でも、外科手術を行わずに調整や作り直しができます。
噛む力や安定感に限界がある
総入れ歯のデメリットは、顎の骨に固定されていないため、噛む力や安定性には限界がある点です。
具体的には、天然歯で噛む力の約10%~30%程度に制限されます。
また、食事中や会話中に入れ歯がずれたり、外れたりする不便さもあります。
オールオンフォーと総入れ歯の違いを知って選ぼう!

本記事では、オールオンフォーと総入れ歯の違いについて解説しました。
2つは「固定式」と「取り外し式」という大きな違いがあり、噛む力や見た目・手入れの手間などの性能が異なります。
後悔しない治療を受けるためには、複数の歯科医院に相談し、自分に合った治療法をみつけることが大事です。
当院では、オールオンフォーや総入れ歯など、それぞれの特徴を丁寧にご説明し、患者さんに最適な治療をご提案しています。
治療方法でお悩みの方は、まずは一度、無料カウンセリングでお気軽にご相談ください。
















